Prostat Kanseri Nedir? Ankara’da Tanı ve Tedavi Yaklaşımları
Prostat kanseri, prostatta gelişen ve erken dönemde belirti vermeyebilen bir kanserdir; PSA ve biyopsi ile tanı konur. ...
Prostat kanseri, prostatta gelişen ve erken dönemde belirti vermeyebilen bir kanserdir; PSA ve biyopsi ile tanı konur. ...
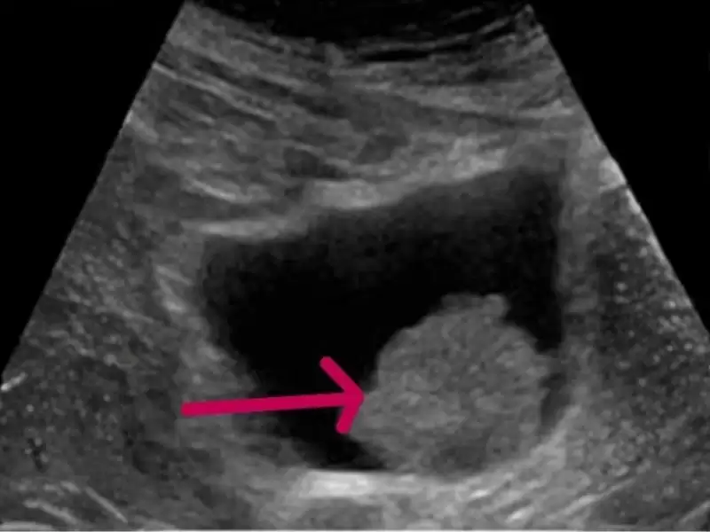
Prostat kanseri şüphesinde kullanılan füzyon biyopsisi; hedefli örnekleme sağlayan bir yöntemdir ve özellikle şüpheli MR bulgularında tanı d...
Prostat kanseri şüphesinde uygulanan füzyon biyopsisi, MR ile belirlenen şüpheli alanlardan hedefli doku örneği alınmasını sağlayan bir tanı...
Prostat kanserinde tedavi; hastalığın evresi, yayılımı ve hastanın genel durumuna göre cerrahi, radyoterapi, aktif izlem ve bazı durumlarda ...
Prostat kanseri; erken dönemde belirti vermeyebilir. Tanı PSA testi ve muayene ile konur, hastalığın evresine göre farklı tedavi seçenekle...
Mesane kanseri, mesane iç yüzeyindeki hücrelerden gelişir; idrarda kan, sık idrara çıkma, tanı süreci ve tedavi seçenekleri önem taşır....
Prostat kanseri; idrar şikayetleri, PSA yüksekliği ve biyopsiyle değerlendirilir. Evreye göre izlem, cerrahi ve ışın tedavisi uygulanır....
Site içinde konu, tedavi veya merak ettiğiniz başlığı arayabilirsiniz.